Some time about a year ago, my dentist did an orbital C/T scan of my head to get a nice, high-resolution view of my teeth. While she was reviewing the scans, she mentioned that it looked like I had a deviated septum and I might want to talk to an Ear-Nose-Throat (ENT) doctor about it. I sort of brushed it off at the time, but in the months that followed I began to notice a pattern of chronic nasal congestion, and it did seem like the air-flow through my nose wasn’t as free as it ought to be.
Melissa has also suffered with nasal problems, mostly related to allergies, so we made a family appointment with a local ENT doctor. He scoped out our noses and sent us out for a full C/T scan and the verdict is in: my septum is badly deviated, and the official recommendation is that I undergo a surgical procedure called a ‘septoplasty’ to straighten it out and get everything back in order.
That’s all well and good, and I’ll probably be getting that done some time in the next couple of months. But what I’m really excited about is that I have a complete electronic copy of my C/T scans to play around with. How cool is that?
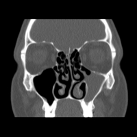
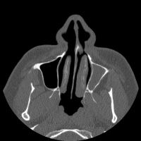
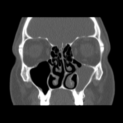
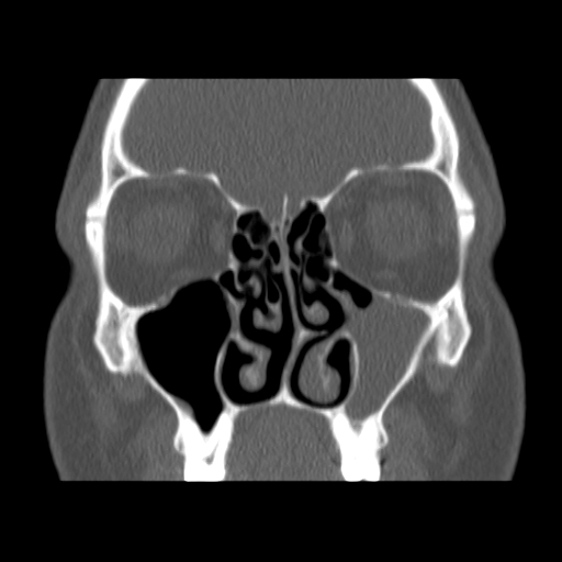
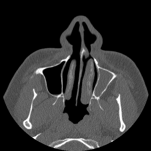
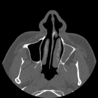
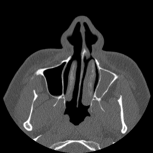
Here are a few shots illustrating how off-kilter my septum is. That line right down the middle is the septum, and it is supposed to be pretty straight. Mine, however, veers off to the left side of my body (the right in the pictures), includes a funky hook-shaped spur, and the whole nasal space is sort of off-kilter and asymmetrical. But it’s nothing that a little modern medicine can’t fix. The last picture has nothing to do with my septum, but I think it’s the coolest image on the my entire C/T scan disk.



